
Pacienti Mulțumiți
Lucrări din zirconiu
Implanturi

Digitalizarea și tehnologia avansată sunt integrate complet în practica noastră zilnică:
Tehnologia înlocuiește amprentarea clasică, oferind modele dentare precise și o experiență superioară în timpul procesului de captare.
Acesta asistă tratamentele endodontice și protetice, oferind o vizualizare amplificată și o orientare superioară în timpul procedurilor.
Sistemul coordonează designul lucrărilor, facilitând frezarea sau printarea acestora în laborator pentru rezultate optime.
Tratamentul Dinți ficși pe implanturi, cunoscută sub denumirea de All-on-X, este o opțiune de tratament adresată pacienților cu edentație extinsă sau totală.
În anumite cazuri, după evaluarea atentă a structurii osoase și a stării generale de sănătate, se poate planifica inserarea a 4, 5 sau 6 implanturi dentare, urmată de aplicarea unei lucrări provizorii fixe într-un interval redus de timp.
Această etapă temporară are rol funcțional și estetic până la realizarea lucrării definitive.
Vedeți mai multe detalii


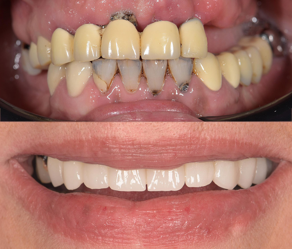
Pacientul s-a prezentat cu dinți irecuperabili la nivelul ambelor arcade și pierdere osoasă semnificativă. După extracțiile dentare necesare și îndepărtarea leziunilor chistice, s-au realizat proceduri avansate de adiție osoasă și sinus lift bilateral pentru refacerea volumului osos la maxilarul superior.
În etapa de reabilitare au fost inserate 12 implanturi dentare la nivelul maxilarului și mandibulei, creând baza pentru o restaurare protetică fixă completă. Tratamentul a permis restabilirea funcției masticatorii, a stabilității ocluzale și a esteticii zâmbetului.

Tratăm fiecare caz cu responsabilitate și folosim tehnologie modernă actualizată clinic.



La Finess Dental, combinăm inovația, empatia și expertiza medicală pentru a transforma complet modul în care percepi vizita la stomatolog.
Fiecare tratament este gândit pentru rezultate reale, fără compromisuri. Descoperă ce ne face diferiți:
În anumite cazuri, dacă stabilitatea implanturilor și starea generală permit, se poate aplica o lucrare protetică provizorie într-un interval scurt de timp, stabilit de medicul curant.
Tratamentul cu dinți ficși pe implanturi se realizează cu anestezie locală, este minim invazivă și mult mai confortabilă decât alte intervenții stomatologice.
Da. Lucrarea provizorie permite să mănânci și să zâmbești normal, până la montarea celei definitive.
Da, în primele zile trebuie să urmezi o dietă moale, să eviți efortul fizic, fumatul și să respecți indicațiile postoperatorii ale medicului. Vindecarea corectă depinde de aceste îngrijiri speciale.
Prețul pornește de la 13.500 lei și variază în funcție de numărul de implanturi și materialele alese pentru lucrarea protetică.
Tratăm fiecare caz cu responsabilitate și folosim tehnologie modernă actualizată clinic.